Our History
Gomez Dental has served our community with compassionate, high-quality dental care for years. What began as a small neighborhood practice has grown into a modern clinic equipped with advanced technology and a team dedicated to your comfort and oral health.
From preventive care to restorative and cosmetic dentistry, our approach has always centered on personalised treatment plans, patient education, and gentle techniques.
Today, Gomez Dental remains guided by the same values we started with: integrity, excellence, and a genuine commitment to healthy, confident smiles.
Milestones
- 2018 Opened our first clinic in Paniqui with a small but passionate team.
- 2020 Expanded services to include orthodontics, cosmetic, and paediatric care.
- 2022 Upgraded to digital X-ray and modern sterilisation facilities.
- 2024 Launched online booking and patient dashboard for seamless care.
Patient-First Care
Comfort, clarity, and empathy guide every treatment we provide.
Modern Technology
Digital diagnostics and gentle techniques for safer, faster care.
Safety & Hygiene
Strict sterilisation and infection control standards you can trust.
Community
Rooted in service—supporting healthy smiles across our neighbourhood.
Our Services
General Dentistry
- Oral Prophylaxis / Cleaning
- Fluoride Application
- Tooth Restoration / Pasta
- Pit & Fissure Sealant
- Tooth Extraction / Bunot
Cosmetic Dentistry
Smile-enhancing treatments to improve colour, shape, and alignment.
Dental Diagnostics
- Intra & Extra Oral Photographs
- 3D Impressions
- Dental X-ray
Prosthodontics
Crowns, bridges, and dentures to restore function and aesthetics.
Endodontics
Root canal therapies and related treatments to save natural teeth.
Orthodontics
- Metal Braces
- Ceramic Braces
- Self-Ligating Braces
- Clear Braces
Oral Surgery
Surgical care for impacted teeth, pathology, and related conditions.
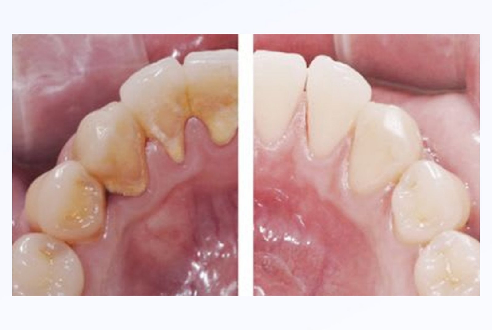
Photo Gallery
Gomez Dental